
اگر با دندانهای از دست رفته سروکار دارید، امسال زمان آن رسیده که آنها را اصلاح کنید. چه از دست دادن دندان در اثر بیماری لثه، پوسیدگی دندان، ساییدگی بیش از حد و یا حتی تصادفی را تجربه کرده باشید، دندانپزشکان دندان پزشکی در کرج توصیه میکنند که دندانهای از دست رفته را به محض اینکه میتوانید، جایگزین کنید. اگر در مورد گزینههای خود تحقیق کردهاید، احتمالاً با ایمپلنت در کرج مواجه شدهاید. اما آیا میدانید آنها چیستند و آیا برای شما مناسبند؟ خوب، اگر تعویض دندان کاری است که میخواهید انجام دهید، به جای درستی آمدهاید. در این مقاله قصد داریم در مورد ایمپلنت در کرج حقیقت را به شما بگوییم. همچنین اگر به فکر کاشت ایمپلنت در کرج یا کامپوزیت در کرج برای لبخندی جدید امسالتان هستید، در اینجا چند نکته مفید آورده شده است. همراه ما باشید.
با اصول اولیه ایمپلنتهای دندانی آشنا شوید
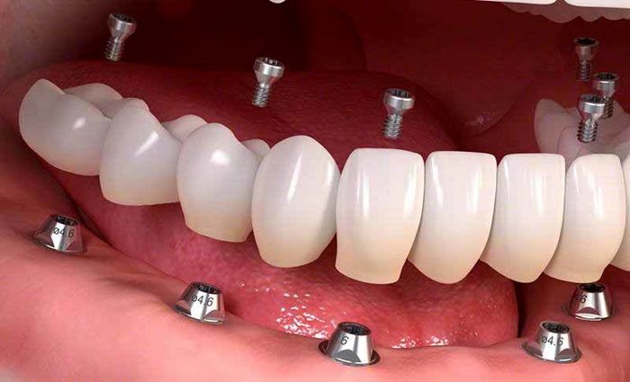
وقتی صحبت از ایمپلنت در کرج به میان میآید، برخی از افراد ممکن است در مورد جراحی جزئی دهان تردید داشته باشند. با این حال، این روند آنقدرها هم که فکر میکنید سخت یا دردناک نیست. به لطف پیشرفتها و تکنولوژی دندان پزشکی در کرج، امروزه قرار دادن ایمپلنتها نسبت به گذشته راحتتر شده است. ایمپلنت در کرج روشی مدرن و پیشرفته برای حل مشکل دندان از دست رفته است. بسیاری از افرادی که با دندانهای از دست رفته سروکار دارند در جویدن و صحبت کردن مشکل داشته و هنگام لبخند زدن نیز اعتماد به نفس کمتری دارند. مهم نیست چه تعداد دندانهای خود را از دست دادهاید، خبر خوب این است که مطمئناً میتوانید کاری برای آنها انجام دهید! ایمپلنتهای دندانی به گونهای طراحی شدهاند که مانند دندانهای طبیعی شما به نظر برسند و عملکردی مناسب داشته باشند همچنین راهحلی پایدار و دائمی به حساب میآیند.
صرف نظر از اینکه چند دندان از دست دادهاید، اولین قدم شما مشاوره با دندانپزشکتان خواهد بود. در دندان پزشکی در کرج، آنها اطمینان حاصل میکنند که شما کاندیدای ایمپلنتهای دندانی هستید و طرحی را برای جایگزینی دندان یا دندانهای از دست رفته شما سفارشی میکنند. اگر ایمپلنتهای دندانی انتخاب خوب و مناسبی برای شما باشد شما و دندانپزشکان دندانپزشکی در کرج برنامهای برای جایگزینی دندانهای خود تهیه میکنید. مهم نیست که یک دندان تکی، یک بریج یا یک فک کامل را جایگزین میکنید، این روش از یک جدول زمانی خاص پیروی میکند. شما در روز جراحی در مطب دندان پزشکی در کرج حاضر میشوید و دندانپزشک شما از بیحسی موضعی یا آرامبخش استفاده میکند. سپس، آنها ساختار پیچ مانند تیتانیومی را کاشت میکنند که همه چیز را در جای خود نگه میدارد. پس از آن باید اجازه دهید استخوان ترمیم شود و به ایمپلنت جوش بخورد. هنگامی که این اتفاق افتاد، برای قرار دادن اباتمنت و تاج (تعویض نهایی دندان) روی ایمپلنت به دندان پزشکی در کرج مراجعه کنید.
فواید ایمپلنت در کرج
به لطف پیشرفتهای دندان پزشکی در کرج، اکنون میتوان دندانهای از دست رفته را به گونهای جایگزین کرد که طبیعی به نظر برسد. ایمپلنت در کرج فواید زیادی دارد، از جمله:
- آنها پایدار و دائمی هستند.
- میتواند از تحلیل استخوان در فک شما جلوگیری کند.
- توانایی جویدن را به شما باز میگرداند.
- مانند دندانهای طبیعی شما تمیز میشوند.
- از جابهجایی و نامرتب شدن دندانهای دیگر جلوگیری میکند.
چگونه متوجه شویم که واجد شرایط ایمپلنت دندان هستیم؟
اگر ایمپلنتهای دندانی به نظر شما خوب میآیند، دانستن اینکه آیا شما کاندیدای واجد شرایط هستید یا خیر، مفید خواهد بود. شما و دندانپزشکتان در مورد ایمپلنت در کرج با جزئیات صحبت خواهید کرد، اما اگر فکر میکنید ایمپلنتهای دندانی ممکن است برای شما مناسب باشند، باید از چند چیز آگاه باشید.
- شما به اندازه کافی برای جراحی سالم هستید؟
- شما مقدار مناسبی از توده استخوانی دارید؟
- شما از سلامت دهان و دندان خوبی برخوردار هستید؟
آیا جراحی ایمپلنت دندان دردناک خواهد بود؟
حتی اگر برای کاشت ایمپلنت در کرج آماده باشید، ممکن است کمی تردید وجود داشته باشد. از این گذشته، دهان شما بسیار حساس است و دندانپزشک برای قرار دادن ایمپلنت، روی استخوان شما سوراخ میکند. مانند هر جراحی دیگری، میتوانید انتظار داشته باشید که در محل ایمپلنت شما کمی ناراحتی ایجاد شود. این میتواند به صورت تورم یا درد در گونه، لثه یا زیر چشم ظاهر شود. اگرچه مقداری درد معمولاً پس از جراحی اتفاق میافتد، اما با بهبودی ایمپلنتها و شروع به جوش خوردن این درد شروع به کاهش میکند. اگر بعد از 10 روز متوجه شدید که همچنان درد دارید، ممکن است زمان آن رسیده باشد که به دندانپزشک خود در دندان پزشکی در کرج اطلاع دهید تا نگاهی به آن بیندازد. همچنین میتوانید قبل از انجام جراحی ایمپلنت دندان، گزینههایی را که برای مقابله با این ناراحتی دارید با دندانپزشک خود در میان بگذارید.
ایمپلنت دندان نیازمند چه مقدار بودجه است؟
چه انتظاری برای اختصاص بودجه روی ایمپلنت در کرج در سال جدید دارید؟ ایمپلنت در کرج راهحلی دائمی برای دندانهای از دست رفته شما است، اما چه مقدار بودجه لازم دارد؟ پاسخ به این امر به چند متغیر مختلف بستگی دارد، از جمله:
- چه تعداد ایمپلنت میگیرید.
- کلینیکی که در حال انجام جراحی هستید.
- سطح تخصص دندانپزشک شما.
از آنجایی که شرایط هر فردی متفاوت است، پیشنهاد میکنیم برای دریافت تخمین هزینهها با دندان پزشکی در کرج تماس بگیرید. پس از صحبت با آنها، ایده بهتری در مورد نوع سرمایه گذاری لازم برای رفع نیازهای خود خواهید داشت.
کامپوزیت در کرج
باندینگ کامپوزیت در کرج یک روش دندان پزشکی در کرج است که در آن یک ماده رنگ دندان به ساختار طبیعی دندان شما "پیوند" میشود و شکل و رنگ آن را بهبود میبخشد و یا حتی برای ترمیم قسمتهایی که ممکن است از بین رفته یا آسیب دیده باشند نیز استفاده میشود. باندینگ کامپوزیت در کرج یک روش کاملاً بدون درد است. مواد کامپوزیت مستقیماً روی سطح دندان چسبانده میشود بدون سوراخ کردن، بیحسی و آسیب به دندان طبیعی شما. اگر دندانهایی دارید که تغییر رنگ، ناهمواری، بریده شده یا فاصله دارند، باندینگ کامپوزیت گزینهای غیر تهاجمی و محافظه کارانه برای رفع این مسائل است و لبخند شما را کاملا متحول میکند. بر خلاف روشهای پیچیدهتر زیبایی مانند تاج یا روکشهای چینی، باندینگ کامپوزیت در کرج را میتوان در یک جلسه انجام داد و این روشی سریع و مقرون به صرفه برای اصلاح لبخند شما است.
باندینگ کامپوزیت برای لبخند شما
اغلب برای پوشاندن ناهماهنگیهای جزئی دندان استفاده میشود و بدون نیاز به درمان پیچیده ارتودنسی، لبخند صافتری به شما میدهد. با افزودن کامپوزیت استراتژیک به نواحی خاصی از دندان، دندانپزشک شما میتواند مشکلات جزئی موقعیت دندان را برای بهبود لبخند شما پنهان کند. در مواردی که شلوغی شدیدتر است، ممکن است یک دوره درمان ارتودنسی از قبل مورد نیاز باشد.
نظر شما